Disfrute Comiendo, Hablando y Sonriendo con Confianza Nuevamente

En TU CONSULTORIO DENTAL, le ayudamos a recuperar su calidad de vida.

Permítanos Ayudarle a Crear la Sonrisa que Siempre ha Soñado

Ofrecemos cuidado dental integral y personalizado en un ambiente moderno y acogedor.

Bienvenido a TU CONSUTORIO DENTAL

Experiencia y profesionalismo

Con una destacada trayectoria, la Dra. Tu Nombre Aquí ofrece un cuidado dental de excelencia, respaldado por su amplia experiencia y alto profesionalismo.


Tecnologia dental avanzada

Utilizamos tecnología dental de vanguardia para diagnósticos precisos, tratamientos eficaces y la mejor atención en cada sonrisa.


Odontología asequible

En nuestra clínica, creemos que una sonrisa saludable debe ser accesible para todos. Por eso, combinamos tratamientos de alta calidad con precios justos y transparentes.

Conozca a nuestro fundador

Cuidado dental integral para una sonrisa segura

La Dra. Tu Nombre Aquí, fundador de TU CONSUTORIO DENTAL, es un odontólogo con una destacada trayectoria en procedimientos quirúrgicos orales. Con más de 15 años de experiencia, la Dra. Tu nombre aquí combina su amplia formación con un trato cercano y personalizado. Se graduó como Odontólogo y se especializó en Cirugía Oral en la Universidad de Quito. Su principal objetivo es brindar a sus pacientes soluciones efectivas y cómodas para mejorar su salud y función bucal.

  • Equipo dental experto que ofrece atención avanzada.
  • Odontología moderna en un ambiente tranquilo.
  • Cuidado dental excepcional, accesible para todos.
team

Dr.Tu Nombre Aquí

CEO “HAMPI”
Construyamos juntos una sonrisa saludable

Servicios dentales

Cirujía oral

Contamos con especialistas para solucionar desde extracciones de muelas del juicio hasta la colocación de implantes dentales. Priorizamos su bienestar y utilizamos tecnología de punta.

Ortodoncia

Ortodoncia de última generación para lograr la sonrisa ideal. Personalizamos tu tratamiento con brackets avanzados o alineadores invisibles, adaptándonos a tus necesidades y estilo de vida.

Endodoncia

Nos enfocamos en eliminar la infección y restaurar la salud de tu diente, utilizando técnicas avanzadas para un procedimiento cómodo y eficaz. Tu sonrisa y bienestar son nuestra prioridad.

Restauraciones

Devuelve la salud tu sonrisa con nuestras restauraciones. Utilizamos materiales de alta calidad y técnicas precisas para reparar dientes dañados, brindándote la confianza para sonreír.

Prótesis dental

Ofrecemos soluciones a medida, desde prótesis removibles hasta fijas, diseñadas para brindarte comodidad y confianza al sonreír y masticar. Nuestro objetivo es obtener resultados naturales y duraderos.

Odontopediatría

Creamos sonrisas felices desde temprana edad. Nos enfocamos en la prevención y educación, asegurando que los pequeños desarrollen hábitos saludables para una sonrisa radiante de por vida.

La diferencia de HUMPI DENTAL

¿Por qué elegir TU CONSUTORIO DENTAL para la extracción dental?

Nuestro equipo experimentado realiza extracciones dentales enfocándose en:

  • Tecnología Dental de Última Generación
  • Equipo de Profesionales Altamente Cualificados
  • Equipo con Amplia Experiencia
  • Odontología Accesible
  • Tratamientos Cómodos
  • Extracción de Muelas del Juicio
image
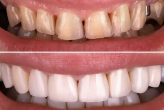
Sonrisas transformadas

Testimonios de pacientes

Programe su exámen dental completo hoy mismo

Agenda tu cita +593 992 954497
WhatsApp